ISODENT YT
Scroll for more
Discover

About ISODENT YT

Our Story - How was Isodent YT born?

It all started with a great desire to bring to the market work done with care and responsibility. With dedication and respect for the profession, we laid the foundations of a laboratory, which today has become a reliable partner for many dental clinics throughout Albania because our dedication continues to be like the first day, to give doctors peace of mind and confidence in every work.

Mission

At Isodent YT we aim to accelerate delivery time without compromising the quality of the work. The secret lies in the selection of materials at the right height, moving away from scarce raw materials, and the avant-garde technology that allows us to minimize errors and complete the work in record time.

ISODENT Laboratory
Happy Patients
0+
Happy Patients
Years Experience
0+
Years Experience
Success Rate
0%
Success Rate
Expert Staff
0+
Expert Staff
Workspace

Office

Why Choose Us?

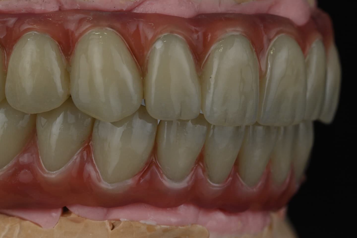
At ISODENT YT, we combine precision craftsmanship with cutting-edge technology to deliver dental prosthetics that exceed expectations. Our commitment to quality, fast turnaround times, and personalized service makes us the trusted partner for dental clinics across Albania. We use only premium materials and advanced manufacturing processes to ensure every piece meets the highest standards of excellence.

Our Technology
VHF K5 Milling Machine

VHF K5 Milling Machine

Ynde SCANDUE Scanner

Ynde SCANDUE Scanner

Zirconia Sintering Furnace

Zirconia Sintering Furnace

Zubler Vario 200ZR

Zubler Vario 200ZR

Zubler Vario Press 330.e Zr

Zubler Vario Press 330.e Zr

What We Do

Our Services

All on 4-6-8 1
All on 4-6-8 2
All on 4-6-8 3

Implant Work

All on 4-6-8

INSTAGRAM

Stay connected with our latest updates on Instagram

Instagram post 1
Instagram post 2
Instagram post 3
Instagram post 4
Instagram post 5
Instagram post 6

Get In Touch

Schedule your appointment today and take the first step towards a healthier smile

Location

Visit Us

Former Airfield Park Tirana, 1001 Albania

View on Google Maps
Clock

Working Hours

Monday - Friday: 8:00 AM - 6:00 PM

Saturday: 9:00 AM - 3:00 PM

Sunday: Closed

Follow

Follow Us

© 2026 ISODENT YT. All rights reserved.

GIFs made by Flaticon